kol çatlağına ne iyi gelir
Ozge Tomar Catlak Tedavisinde Mucize Cozum 0850 885 34 01 Hamilelik Gebelik Dogum Vucut Deri Catlaklari From Pinterest

El Catlaklarina Ne Iyi Gelir Catlayan Ellere Karsi Bu Yontemleri Uygulayin

Hamilelik Catlaklari Nasil Gecer Anneysen

Kirik Kemik Ne Kadar Surede Kaynar Ve Nasil Gecer Kirik Ve Kemik Kaynamasina Ne Iyi Gelir Saglik Haberleri

Kemik Catlaklarina Ne Iyi Gelir Acil Servis

Vucut Gelistirmede Ortaya Cikan Deri Catlaklari

Cilt Bakim Panosundaki Pin

Cilt Catlaklari Dr Gunes Erturk

Pin On Ev Yapimi Maskeler

Ozge Tomar Catlak Tedavisinde Mucize Cozum 0850 885 34 01 Hamilelik Gebelik Dogum Vucut Deri Catlaklari

Kantaron Yagi Catlaklara Iyi Gelir Mi Guzellik Sirlari Ve Dogal Bakim Onerileri Guzellik Sirlari Ve Dogal Bakim Onerileri

Kemik Catlagi Catlak Kemik Bir Nevi Kirik Kemik By Timedevil Medium

Catlak Tedavisi Ve Cilt Catlagi Nedenleri Medicana

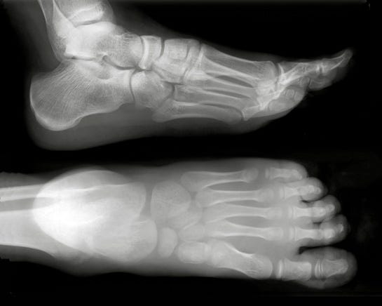
Ayak Parmagi Kemik Catlagi Tedavisi Acil Servis

Ozge Tomar Catlak Tedavisinde Mucize Cozum 0850 885 34 01 Hamilelik Gebelik Dogum Vucut Deri Catlaklari

Catlak Tedavisi Var Mi Op Dr Orhan Murat Ozdemir

Kemik Catlagi Kac Gunde Iyilesir Kemik Catlaklari Ne Kadar Surede Iyilesir

Kol Catlagina Ne Iyi Gelir

Catlak Kemik Tedavisi Nasil Yapilir Catlak Kemik Iyilesme Suresi Ne Kadardir Saglik Haberleri

Bebeklerde Makat Catlagi Saglik Haberleri Bebek Saglik Haber

Omurga Catlagi Belirtileri Ve Tedavisi

Vucuttaki Catlaklara Iyi Gelen 10 Dogal Cozum Nefis Yemek Tarifleri

El Catlamasinin Nedenleri Nelerdir Ve Nasil Gecer El Catlaklarina Ne Iyi Gelir Saglik Haberleri

Catlak Kemik Tedavisi Ibrahim Saracoglu Youtube

Kuru Ve Catlak Topuklar Karbonat Ile Nasil Tedavi Edilir Hair Care Oil Feet Care Natural Hair Conditioner

Kemik Catlama Kirilmasina Fraktur Iyi Gelen Gidalar Nelerdir

Kemik Kiriklarinin Iyilesmesi Icin Dikkat Edilmesi Gerekenler Memorial

Kemik Catlagi Catlak Kemik Bir Nevi Kirik Kemik By Timedevil Medium

Catlaklara Ne Iyi Gelir Vucutta Olusan Catlaklara Dogal Tedavi Yontemleri

Gece Sur Sabah Topuk Catlaklarindan Kurtul Topuk Catlaklarina Evde Cozum Dogal Saglik Saglik Bakim Saglik Ve Saglikli Yasam

Kiriklari Iyilestiren Corba Saglik Son Dakika Haberler

Catlak Tedavisinde Kullanilan 5 Tedavi Yontemi

En Iyi Catlak Bakim Kremleri

Catlaklara Ne Iyi Gelir Vucutta Olusan Catlaklara Dogal Tedavi Yontemleri

Catlak Kemik Tedavisi Ibrahim Saracoglu Youtube Kemik Youtube Percem

Catlaklar Nasil Gecer Saglik Haberleri

Vucut Catlaklarina Karsi Dogal Cozumler Pervin Dincer

Ayak Catlaklarina Iyi Gelen 8 Harika Yontem

Kemik Catlaklarina Ne Iyi Gelir Acil Servis

Kol Catlagina Ne Iyi Gelir Bellona Koltuk Takimi




